Jacqueline Rodríguez
Tu salud bucal, mi compromiso
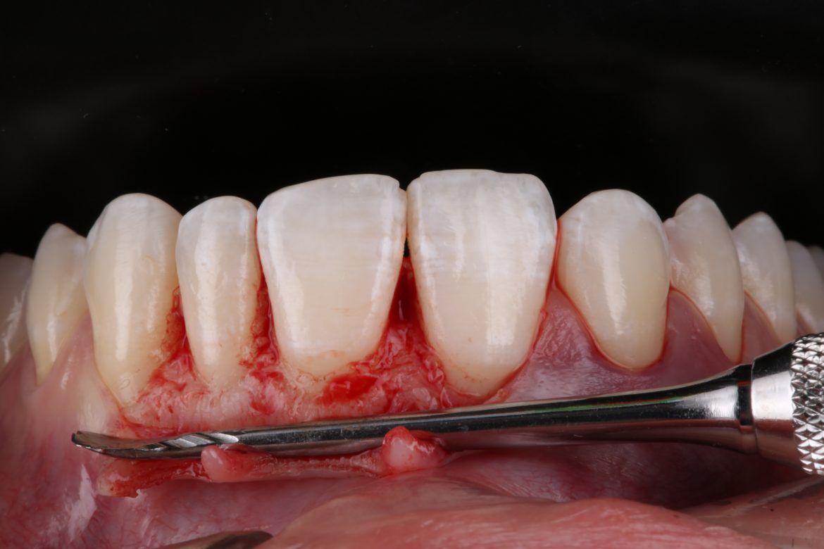
¡Tratamientos con GPS!
Tecnología digital de última generación que guía cada procedimiento con precisión milimétrica. Tu boca, nuestra misión láser.
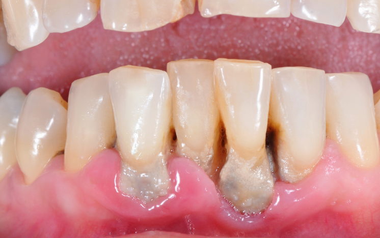
Periodoncia sin drama
Explicamos todo con claridad, te acompañamos sin prisa, y tratamos como nos gustaría ser tratados. Cero sustos, cien confianza.
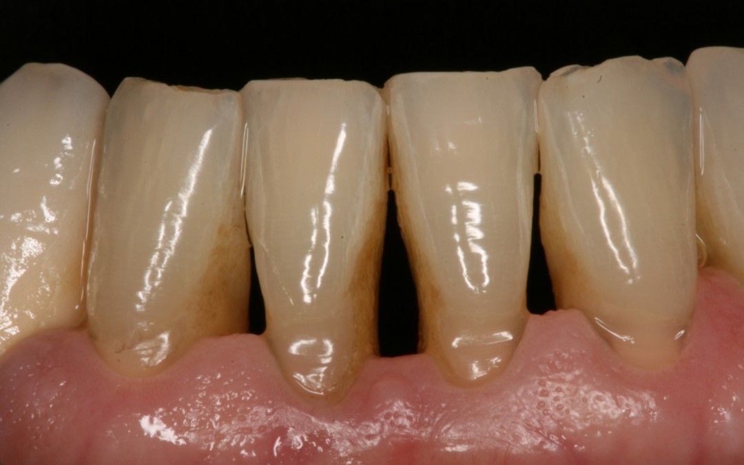
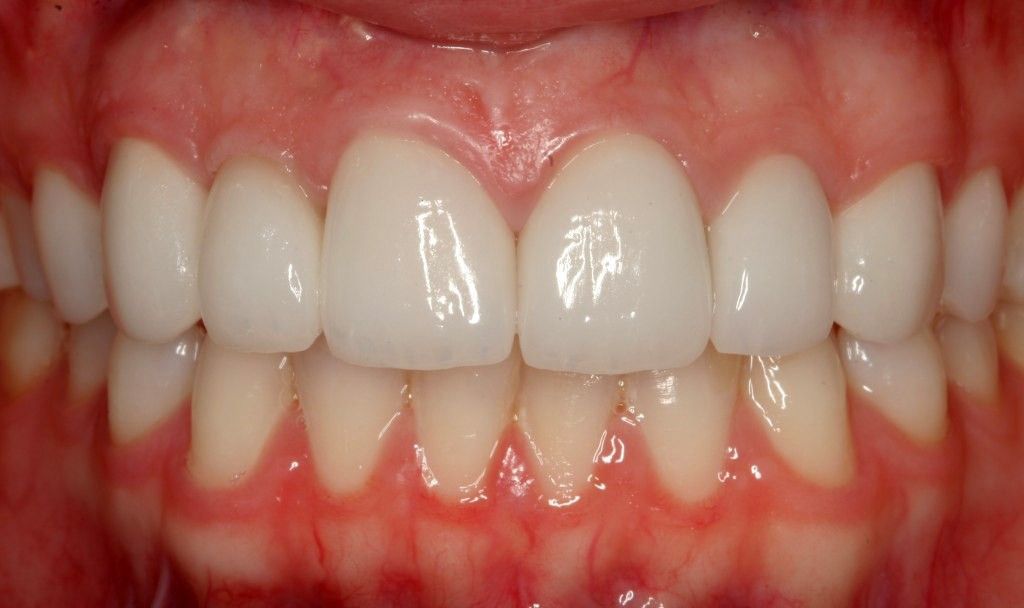
Una sonrisa diseñada por expertos (y con cariño)
No solo reparamos: creamos armonía facial. Porque tu sonrisa no es un diente más, ¡es tu carta de presentación!
¡CONTACTA!
Una visita que cambiará tu forma de ver al dentista
Trabajo para que te sientas como en casa, ofreciendo un trato humano, profesional y cercano. ¡Descubre una atención dental que realmente te cuida!
Comparte nuestra web con nuestro código QR














