Transformaciones que hablan por sí solas
Sonrisas reales, resultados visibles
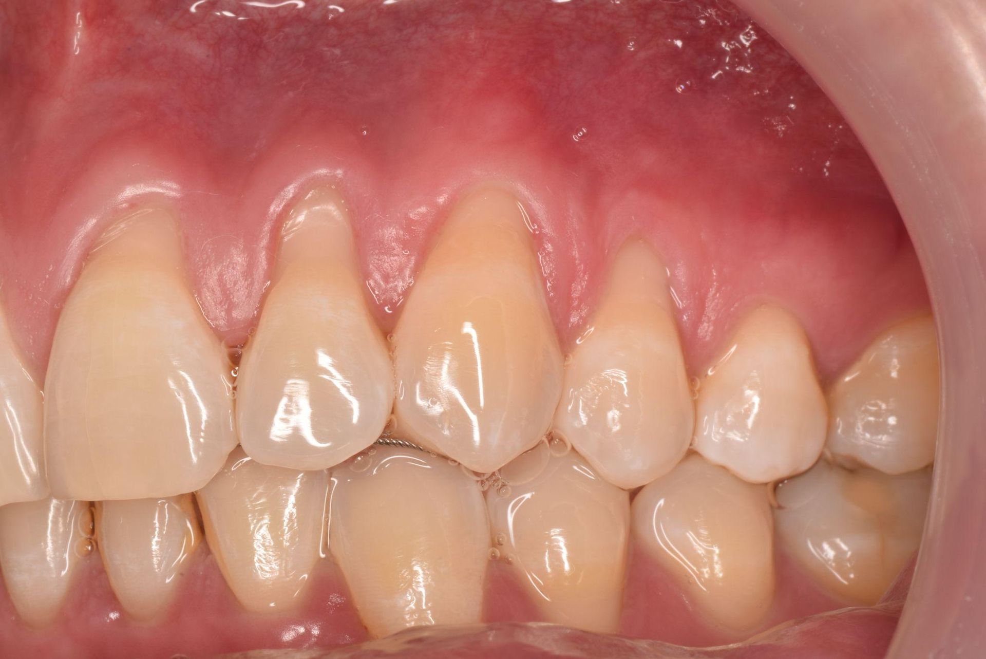
Cada sonrisa tiene su propia historia. Aquí puedes ver casos reales de personas que confiaron en mí para mejorar su salud oral. Desde la regeneración de encías hasta la colocación de implantes, cada tratamiento refleja un enfoque personalizado, profesional y humano. No solo cuido dientes, transformo sonrisas y mejoro vidas. Descubre cómo un diagnóstico preciso y un tratamiento adecuado pueden hacer la diferencia.












